Menu Principal:
Ortodoncia niños
Ortodoncia adultos
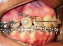
Ortodoncia con micro implantes
Ortodoncia invisible
Tratamiento de disfunción temporomandibular
Endodoncia
Intervenciones de alta precisión con microscópica operatoria
Microcirugía
Microendodoncia

Tratamientos de ortodoncia en edad temprana
Interceptivos y preventivos. Diagnóstico, evolución
y seguimiento de crecimiento y desarrollo.

Resolución de maloclusiones sin límite de edad.

Tratamientos de ortodoncia
combinados con la instalación de
microimplantes como refuerzo mecánico.

Tratamientos de ortodoncia con técnicas estéticas.

Terapéutica del síndrome doloroso y funcional de la articulación temporomandibular.
Complementación de las técnicas terapéuticas para la rehabilitación integral.
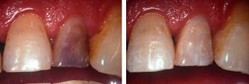
Técnicas conservadoras para la resolución y mejoramiento estético de la coloración de una o varias piezas dentarias.
Empleo de los implantes dentales como recurso para la resolución funcional y estética ante la ausencia de piezas dentales.
Equipamiento de microscopia operatoria que permite realizar diagnósticos y tratamientos con magnificación que aumenta la precisión de los procedimientos.

Procedimientos quirúrgicos mínimamente invasivos bajo Microscopia Operatoria.
Procedimientos endodonticos bajo Microscopio que permiten el diagnostico, abordaje y tratamiento con mínima invasividad y máxima abordabilidad.

